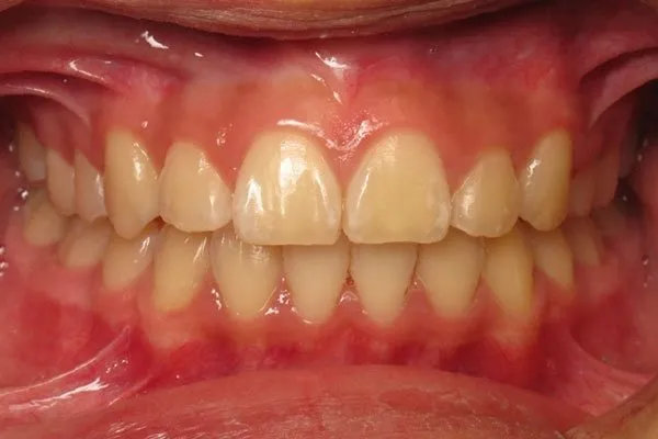
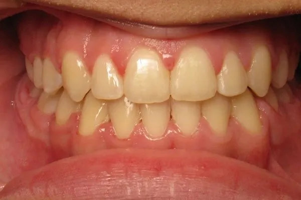
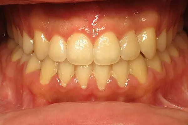
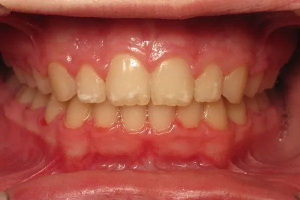
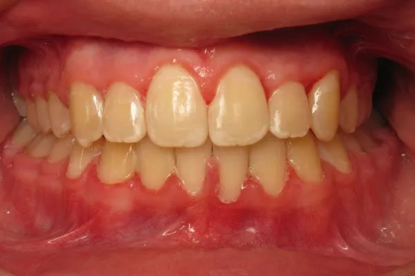
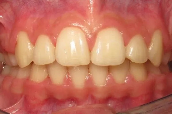
Before and After
Incredible results and inspiring journeys – see some of our patients' before and after photos next time you visit our practice.








Incredible results and inspiring journeys – see some of our patients' before and after photos next time you visit our practice.







